媒体聚焦
媒体聚焦
洗牙后牙齿松动、牙缝变大?几个洗牙真相,越早知道越省钱
查看人数:
图片

你以为你按时刷牙,一天两次,每次两分钟,你的牙应该长这样:


image.png

图源网络


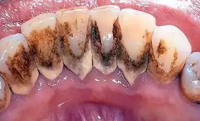
● 实际上你的牙长这样:

74bc849e90a379552c8cf5464f3a833f.jpg

图源网络

有些人就会问:我每天认真刷牙,为什么还会刷不干净呢?一起来看看吧~






牙结石是怎么形成的?

牙结石,堪称口腔里的“钉子户”。它的诞生,是细菌、唾液和食物的“三合一阴谋”:  

图片


细菌开派对


口腔里有800多种细菌,它们和食物残渣“勾搭”成牙菌斑,像一层黏糊糊的膜糊在牙齿上。  



唾液助攻


唾液里的钙、磷离子和牙菌斑“私奔”,逐渐钙化成硬邦邦的结石。



饮食“火上浇油”


爱吃甜食软黏食物的人,简直是牙结石的“头号粉丝”。吸烟更会让牙结石“黑化”,变成顽固的褐色或黑色。  







危害:不只是口臭,全身都遭殃!

牙结石就像“口腔里的定时炸弹”,危害远超你的想象: 


u=578933920,996406978&fm=23&gp=0.jpg
社交刺客

口臭、牙黄,一张嘴就能“劝退”旁人。  

图片

u=578933920,996406978&fm=23&gp=0.jpg
牙龈的噩梦

压迫牙龈导致出血、萎缩,严重时牙齿松动脱落。

图片

图源网络



u=578933920,996406978&fm=23&gp=0.jpg
威胁全身健康

心脏牙周病菌可能溜进血液,诱发心内膜炎;  

细菌可被吸入肺部,加重慢阻肺;  

孕妇增加早产风险。  

 有人说:

道理我都懂,

可听说洗牙很伤牙、还会疼、

洗牙牙缝会变大、洗完会敏感

我才不要洗牙!

c9250751322992da9e8ffd55e6003198.png

事实真的是这样吗?

快来学习!




图片

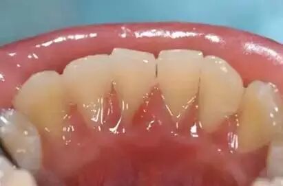
洁牙前】

图片

洁牙后】

图片

恢复后】




Q
洗牙伤牙吗?

A:牙齿最外层的牙釉质是人体最坚硬的组织,洗牙不会伤害牙釉质。

图片

洗牙(超声波洁牙)是通过超声波震动和水雾冲洗来清除牙结石。洁牙尖是圆钝的而非尖锐的,清除下来的牙结石是块状的而非粉末状的所以洗牙时牙结石脱落绝对是超声洁牙机震下来的。

Q
洗牙疼不疼?

A: 初次洗牙的患者可能会出现酸痛,并且出血的情况,那是由于牙结石被清除,被压迫的牙龈露出本来的面目,所以会出现以上的两种情况。

疼是轻微的,可以忍受。越早去,越不痛苦,毕竟到最后要龈下刮治的时候就是另一种画风了....

Q
洗牙会让牙缝变大吗?

A:洁牙后清除了牙结石,还原出你本身的牙缝,绝对不是洗牙洗出来的。

6fbf43c1d914b0dfc77f97b7ec8c210e.jpg


觉得自己牙缝变大的患者,一般是牙结石比较多的人,由于刷牙不干净等一系列问题,时间久了牙龈退缩,牙槽骨吸收,根面暴露。牙结石去除后,把你最真实的牙缝展现出来。如果不清洁牙结石,牙龈还会进一步萎缩,牙齿会更松,会恶性循环!

Q
洗完牙,牙齿会变敏感吗?

A: 洗过牙之后,很多人都反映牙齿变得比原来敏感了。这类同志一般都是已经患有不同程度的牙周炎了,类似下图。

图片

其实牙结石好像大棉袄,一旦脱去,牙齿暴露在“久违”的环境里,就会产生种种异样的感觉。如果是健康的牙齿,这种敏感症状通常在洗牙后一到两周内会逐渐消失。


c735b5ddf0938b8efd0123263f5d486d.png



洗完牙,医生通常会给你做两件事:
喷砂 & 抛光
这俩有啥区别?一句话说清楚:
  • 喷砂 = 用“高压水枪”深度去污
针对咖啡党、烟民等有色素沉淀的选手。用高压气流把特制粉末喷到牙面上,专门清除那些顽固的茶渍、烟渍,能钻到牙刷够不着的缝缝里。
  • 抛光 = 给牙齿穿“滑溜雨衣”
用的是软软的橡皮轮+细腻的抛光膏,通过旋转摩擦,消除牙齿表面的细微划痕,让牙面光滑如镜。目的是让牙菌斑和色素以后不容易挂住。
简单来说:喷砂主攻“深度清洁去色素”,抛光负责“最终打磨提亮度”。 如果你是重度色素爱好者,跟医生说“来个喷砂”,清洁效果更上一层楼!




活动抢先看图片

洁牙只要19.9

洁牙只要19.9

洁牙只要19.9

重要的事情说三遍!

快来为你的牙齿做个护理吧!

还有更多福利,等你抢购~



12.1洗牙.jpg


展开更多