媒体聚焦
1分钟手法复位,右肩脱臼的外国留学生直呼“Amazing!”




发布时间: 2026-04-18
查看人数:
4月14日晚,和佳医院急诊科接诊
从外院慕名而来的外国留学生阿强(化名),
此时的他左手托着垂下来的右手手臂,
已经疼得说不出话来。
急诊科主任王超鹏迅速进行专科查体:
右肩呈“方肩”、关节弹性固定,
未发现畸形肿胀、骨摩擦感,
排除骨折因素后,
诊断为右肩关节前脱位。

王超鹏主任为患者进行专科检查
看到阿强因为疼痛汗泪连连,
王超鹏主任随即采用创伤更小、
更温和的“外旋法”进行复位。

王超鹏主任不到1分钟实现手法复位
随着关节归位,阿强肩部疼痛快速缓解,
连连点头惊叹称赞:“amazing!”


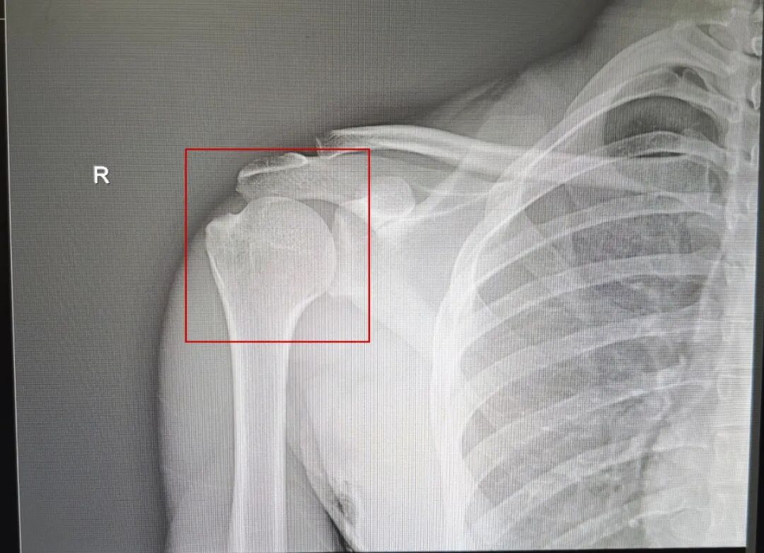
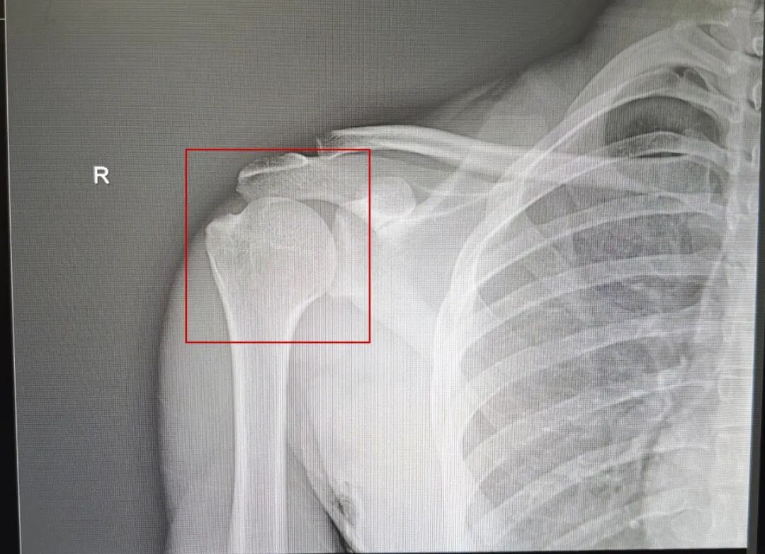
DR显示:脱臼的右肩关节成功复位
夏季是运动损伤高发期,
此时运动损伤率比春秋季高30%!
尤其是球类运动这类高强度对抗
讲究策略,急停变向,
更是运动损伤的“重灾区”。
TIPS
关于运动健身 急诊医生有话说
苏超、苏BA等球类联赛开启,掀起全民运动健身的热潮。和佳医院急诊科王超鹏主任提醒:
1. 运动前务必充分热身,重点活动肩、膝、踝等关键关节,放松肌肉,降低关节脱位、拉伤风险;
2. 合理把控动作幅度,避免暴力冲撞与超负荷发力,做好护具防护;
3. 若突发关节错位、扭伤、磕碰疼痛,一定不要盲目拉扯、强行活动,及时制动休息(停止运动、立即休息);
4. 急性运动损伤时,第一时间前往医院就诊,明确排查骨折、韧带损伤,接受专业复位与对症治疗,避免二次损伤。
和佳医院急诊科提供24小时诊疗服务,畅通医疗救治绿色通道,整合骨科、脑科、心内科、普外科、泌尿外科、影像科等多学科力量,处理各类运动损伤、意外创伤,并开展超减张美容缝合技术。以专业诊疗能力,为运动爱好者的健康保驾护航。





