为让每一位患者都能享受到更高水平、更高效率、更高准确度的检查服务,我院正式引进来自国家级专精特新“小巨人”企业——医准智能的人工智能影像辅助诊断系统。
如今,这套国际领先的AI系统已经在我院全面投入使用,让患者在日常检查中,享受到更智能、更可靠的诊疗体验,这意味着:今后做一次CT检查,相当于拥有“多位专家+智能医生”的联合会诊。
AI辅助,医生主导,让疾病筛诊更智能、更可靠,帮助患者实现——早发现、早诊断、早治疗!
和佳为什么引入AI?
对患者有什么好处?
✔ 检查结果更快出
AI能在数秒——数分钟内自动完成影像识别、分析和初步判断,大幅提升出片速度,让患者等结果更快更安心。
✔ 诊断更准确、更可靠
AI能自动标记疑似病灶、测量大小、给出相关指标,帮助医生减少漏诊、误诊风险,让影像诊断更精细。
✔ 检查一次,收获多项疾病评估
部分AI系统能在一次CT中同时分析多项指标,例如一次胸部CT即可同时完成肺结节筛查+冠心病风险评估+骨质疏松筛查+体脂成分分析+重要异常预警,一扫五查,减少不必要的重复检查与辐射。
✔ 报告更清晰,患者更容易理解
系统自动生成的图文结构化报告更直观、标准化,让患者更容易读懂检查结果。
AI都能做些啥?
五大智能系统护航健康
1. 肺结节CT影像智能分析系统——更早发现肺癌风险
AI可自动识别胸部CT图像中的肺结节,并分析形态、大小、密度、征象特征等,还能进行风险预测与智能随访提醒。
患者获益
:
l 早期发现潜在恶性结节
l 自动随访提醒不遗漏
l 辅助定性结节,诊断更精准
2. 肋骨骨折CT智能分析系统——骨折不再“藏着找不见”
AI基于国际冠军技术(曾获MICCAI肋骨骨折挑战赛冠军),能自动识别肋骨是否骨折、骨折位置、类型,并直观展示。
患者获益
:
l 隐匿性骨折也能快速发现
l 自动定位骨折,减少反复看片
l 报告清晰易懂,一目了然
l 医生诊断更快更准,避免漏诊
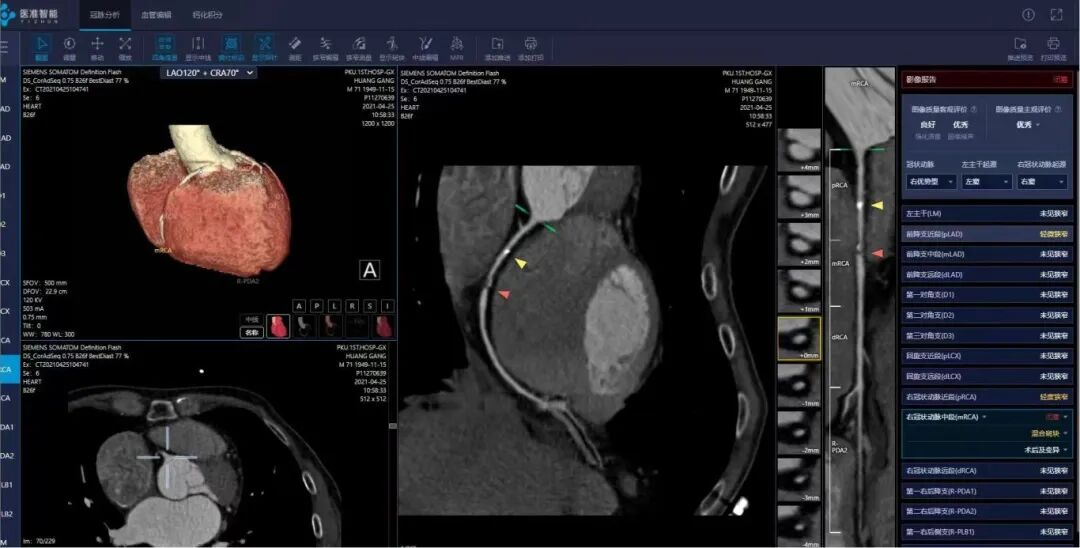
3. 冠脉CTA影像智能分析系统——更快评估心血管风险
AI能自动完成冠脉CTA后处理,识别狭窄、钙化斑块、血管特征,并给出智能化的心脏病影像评价。
患者获益
:
l 冠心病风险评估更精细
l 检查和出报告的等待时间更短
l 更准确的辅助判断,帮助医生制定个性化诊疗方案
4. 骨密度CT智能分析系统——早筛骨质疏松,不增加辐射
无需额外检查,只要是胸、腹或脊柱平扫CT,AI都能自动识别椎体并计算骨密度,快速得出结果。
患者获益
:
l 不增加辐射负担
l 快速识别骨质疏松风险
l 骨折风险评估更精准
5. 非门控冠脉钙化积分智能分析系统——一次CT同时看“心+肺”
利用普通胸部CT即可完成冠脉钙化积分(Agatston Score),并能同步结合肺结节分析,实现“心肺联查”。
患者获益
:
l 一次CT同时了解两个重大疾病风险:肺癌 + 冠心病
l 减少重复检查与不必要辐射
l 钙化指标更精准,为心血管风险评估提供重要依据。
AI不是取代医生,而是
为医生加一双“”眼睛”
AI是医生的智能助手:医生负责最终诊断与治疗决策,AI负责海量影像的快速识别、分析、提醒。双重把关,让结果更安全、更可靠。让患者看病更放心,是我们最大的追求。
和佳医院,让先进技术真正服务每一位患者!我们将继续引入更高水平的诊疗技术,为患者提供更精准、更高效、更安全的医疗服务。





